下列病变,关于输尿管特点的描述哪项是错误的( )
A、单纯型输尿管囊肿:眼镜蛇头征
B、输尿管肿瘤:Bergman征
C、输尿管结核:输尿管串珠征
D、前列腺肥大:鱼钩状输尿管
E、原发性巨输尿管:双侧输尿管全程扩张
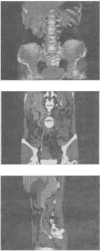
查看答案女,42岁,反复右下腹痛1个月,CT检查如图所示,下列诊断正确的是( )。
图1
图2
图3
A、右侧输尿管上段结石,其上方输尿管扩张积水
B、右侧输尿管中段结石,其上方输尿管扩张积水
C、右侧输尿管下段结石,其上方输尿管扩张积水
D、右侧输尿管下段结核,其上方输尿管扩张积水
E、右侧输尿管下段炎性狭窄,其上方输尿管扩张积水
查看答案异位肾的输尿管特点是()。
A、输尿管长度正常,输尿管扭曲
B、输尿管过短或过长
C、输尿管长度正常,改变体位时扭曲
D、输尿管短,在肾脏前面下行
E、输尿管细小,开口异位
查看答案下列哪些疾病需要与输尿管癌鉴别()。
A、输尿管结石
B、输尿管凝血块
C、输尿管息肉
D、输尿管囊肿
E、腔静脉后输尿管
查看答案A输尿管长度正常,输尿管扭曲
B输尿管过短或过长
C输尿管长度正常,改变体位时扭曲
D输尿管短,在肾脏前面下行
E输尿管细小,开口异位
查看答案A.肾盂输尿管连接部瓣膜
B.肾盂输尿管连接部及输尿管上段缺乏蠕动
C.肾盂输尿管连接部狭窄
D.肾盂输尿管连接部或输尿管上段息肉
E.异位血管压迫肾盂输尿管连接部
查看答案输尿管结石易停留在()
A、输尿管中段
B、输尿管下段
C、肾盂输尿管连接处
D、输尿管跨越髂血管处
E、输尿管膀胱连接处
查看答案常见的输尿管损伤不包括()
A、输尿管刀刺伤
B、子宫癌根治术中损伤输尿管
C、输尿管镜钬激光碎石术后输尿管穿孔
D、肾盂输尿管交界处狭窄致严重肾积水
E、放疗后输尿管闭塞
查看答案A输尿管结石
B输尿管肿瘤
C输尿管炎性狭窄
D下腔静脉后输尿管
E输尿管结核
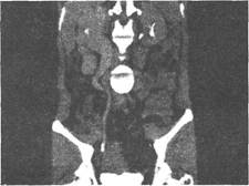
查看答案女,42岁,反复右下腹痛1个月,CT检查如图所示,下列诊断正确的是()。
A、右侧输尿管上段结石,其上方输尿管扩张积水
B、右侧输尿管中段结石,其上方输尿管扩张积水
C、右侧输尿管下段结石,其上方输尿管扩张积水
D、右侧输尿管下段结核,其上方输尿管扩张积水
E、右侧输尿管下段炎性狭窄,其上方输尿管扩张积水
查看答案典型输尿管结核肾盂造影表现()
A、输尿管变细
B、输尿管“串珠状”改变
C、输尿管变粗
D、输尿管无改变
E、输尿管内充盈缺损
查看答案典型输尿管结核肾盂造影表现包括()。
A、输尿管无改变
B、输尿管变细
C、输尿管变粗
D、输尿管“串珠状”改变
E、输尿管内充盈缺损
查看答案"先天性输尿管囊肿",最常见的好发部位在()
A、肾盂-输尿管交界处
B、输尿管上段
C、输尿管中段
D、输尿管下段
E、输尿管膀胱壁内段
查看答案