有关正常三尖瓣血流多普勒频谱的说法,正确的是
A、三尖瓣血流频谱呈双向
B、三尖瓣血流频谱缺乏收缩期部分
C、三尖瓣血流频谱幅度明显大于二尖瓣
D、三尖瓣血流频谱呈单峰
E、三尖瓣血流舒张早期速度明显大于二尖瓣
查看答案由于瓣膜先天畸形,二维超声显示和测量功能性右室、房化右室及固有右房的是()
A、三尖瓣叶裂
B、三尖瓣赘生物
C、三尖瓣下移畸形
D、三尖瓣叶二瓣化
E、三尖瓣闭锁
查看答案由于瓣膜先天畸形,二维超声显示和测量出功能性右室、房化右室及固有右房的是()
A、三尖瓣叶裂
B、三尖瓣赘生物
C、三尖瓣下移畸形
D、三尖瓣叶二瓣化
E、三尖瓣闭锁
查看答案心尖四腔切面取样,正常成人三尖瓣与二尖瓣舒张期多普勒血流频谱正确的为( )。
A、三尖瓣血流频谱为负向,二尖瓣为正向
B、三尖瓣血流频谱呈单峰
C、血流频谱幅度三尖瓣大于二尖瓣
D、血流频谱幅度三尖瓣小于二尖瓣
E、舒张早期血流频谱速度三尖瓣大于二尖瓣
查看答案三尖瓣下移畸形超声心动图表现,不包括
A、三尖瓣隔瓣附着部位低于二尖瓣前叶,二者距离大于1.5cm
B、三尖瓣缺如
C、房化右心室扩大
D、三尖瓣后瓣下移至右心室腔内
E、三尖瓣反流
查看答案患者由于瓣膜的先天畸形,二维超声显示和测量出功能性右心室、房化右心室及固有右心房,这是什么疾病()。
A、三尖瓣下移畸形
B、三尖瓣先天裂加赘生物
C、三尖瓣裂
D、三尖瓣一个瓣叶缺如
E、三尖瓣闭锁
查看答案正常三尖瓣与二尖瓣的血流多普勒频谱有什么不同:
A、三尖瓣血流频谱呈负向,二尖瓣则呈正向B:D://
B、三尖瓣血流频谱缺乏收缩期部分(速度)明显大于二尖瓣血流
C、三尖瓣血流频谱幅度(速度)明显大于二尖瓣血流
D、三尖瓣血流频谱幅度(速度)小于二尖瓣
E、三尖瓣血流舒张早期速度大于二尖瓣
查看答案关于三尖瓣下移畸形超声心动图描述,下列哪项是错误的
A、三尖瓣隔瓣附着部位低于二尖瓣前叶,二者距离大于1.5cm
B、三尖瓣前叶瓣叶冗长,活动幅度大
C、房化右心室扩大
D、三尖瓣一个瓣叶缺如
E、三尖瓣反流
查看答案心尖四腔切面,二尖瓣与三尖瓣的鉴别正确的是()。
A、二尖瓣前叶较短
B、二尖瓣位置高
C、三尖瓣位置高
D、三尖瓣隔叶较长
E、三尖瓣前叶较长
查看答案三尖瓣复合体包括()
A、三尖瓣环
B、三尖瓣
C、腱索
D、梳状肌
E、乳头肌
查看答案关于风湿性心脏病瓣膜损害的频率,下列哪一项是正确的()。
A、三尖瓣、二尖瓣、主动脉瓣、肺动脉瓣
B、二尖瓣、主动脉瓣、三尖瓣、肺动脉瓣
C、主动脉瓣、肺动脉瓣、二尖瓣、三尖瓣
D、肺动脉瓣、主动脉瓣、二尖瓣、三尖瓣
E、肺动脉瓣、二尖瓣、三尖瓣、主动脉瓣
查看答案三尖瓣下移畸形的超声表现下列哪项是错误的()
A、三尖瓣前瓣巨大
B、右房腔狭小
C、三尖瓣隔瓣位置下移>1cm
D、彩色多普勒显示明显的三尖瓣返流
E、右房腔巨大
查看答案下列三尖瓣下移畸形的超声表现哪项是错误的
A、三尖瓣前瓣巨大、
B、右房略狭小
C、三尖瓣隔瓣位置下移>1C.m
D、右房腔巨大
E、彩色多普勒显示明显的三尖瓣返流
查看答案关于三尖瓣下移畸形声像图特征描述,正确的是( )。
A、三尖瓣隔瓣附着部位低于二尖瓣前叶,两者距离大于1.5cm
B、三尖瓣前叶冗长,活动幅度大
C、房化右心室扩大
D、房间隔回声中断
E、三尖瓣反流
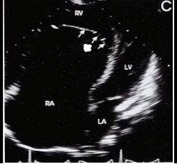
查看答案如图三尖瓣病例最可能的诊断
A、右室双腔
B、三尖瓣缺如
C、异位腱索
D、三尖瓣下移
E、室间隔缺损
查看答案