搜索
才径谷 >医卫类 >医卫其他 >试题列表
试题正文

咬合创伤时X线片上常表现为A:牙槽骨垂直吸收
B:牙槽骨水平吸收
C:牙槽骨广泛一致的密度减低
D:牙周膜变窄E.无牙槽骨改变

热门标签: 牙槽骨  
答案
查看答案
请于下方输入框内输入要搜索的部分试题内容进行搜索:
更多相关内容推荐

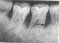
第1题:

指出右图的病变类型

A、牙槽骨吸收Ⅱ度

B、牙槽骨吸收Ⅲ度

C、牙槽骨水平吸收

D、牙槽骨垂直吸收

点击查看答案

第2题:

牙周病成人患者在控制牙周病后可以进行正畸治疗的牙槽骨条件是
A.牙槽骨吸收不到根长的1/2B.牙槽骨吸收不超过根长的3/4C.牙槽骨吸收不到根长的1/3D.无牙槽骨吸收E.牙槽骨吸收不超过根长的2/3
点击查看答案

第3题:

(单选题)牙槽骨的吸收程度为Ⅱ度表示()

A牙槽骨吸收在牙根的颈1/3以内

B牙槽骨吸收在牙根的颈1/2以内

C牙槽骨吸收占根长2/3以上

D牙槽骨吸收达根长的1/2

E牙槽骨吸收达根长的1/3

点击查看答案

第4题:

如拔牙时发生断根,位置较低,根挺应置于
A.从根断面较低的一侧插入牙槽骨与牙根之间
B.从根断面较高的一侧插入牙槽骨与牙根之间
C.从牙槽骨较厚的一侧插入牙槽骨与牙根之间
D.从牙槽骨较薄的~侧插入牙槽骨与牙根之间
E.从牙槽窝近颊侧插入牙槽骨与牙根之间

点击查看答案

第5题:

患者,女,51岁。右侧下颌第二磨牙残冠,局部无炎症,拟行拔除如拔牙时发生断根,位置较低,根挺应置于()。

A、从根断面较低的一侧插入牙槽骨与牙根之间

B、从根断面较高的一侧插入牙槽骨与牙根之间

C、从牙槽骨较厚的一侧插入牙槽骨与牙根之间

D、从牙槽骨较薄的一侧插入牙槽骨与牙根之间

E、从牙槽窝近颊侧插入牙槽骨与牙根之间

点击查看答案