搜索
才径谷 >医卫类 >医卫其他 >试题列表
试题正文

成于不同分化程度脂肪细胞的肿瘤是()

A、多形性脂肪瘤

B、良性成脂肪细胞瘤

C、髓性脂肪瘤

D、棕色脂肪瘤

E、高分化脂肪肉瘤

热门标签: 脂肪瘤   多形性  
答案
查看答案
请于下方输入框内输入要搜索的部分试题内容进行搜索:
更多相关内容推荐

第1题:

A、脂肪瘤切除后应送病理,进一步明确其性质

B、多发脂肪瘤不行手术,仅取其一作病理

C、无症状的皮下脂肪瘤应积极手术,以防恶变

D、多数情况下,可不处理

E、切除时,应尽量连同包膜一并切除

点击查看答案

第2题:

下列对骨脂肪瘤和脂肪肉瘤描述正确的是

A、骨内脂肪瘤X线表现为骨髓腔内圆形的溶骨性病变,轻度骨质膨胀,边缘清楚锐利,无侵袭性

B、骨内脂肪瘤内可见灶性钙化和残存的骨小梁,一般无骨膜反应

C、骨内脂肪肉瘤组织学上可分为脂肪瘤型、黏液瘤型和多形性3种类型

D、骨脂肪瘤与脂肪肉瘤的好发部位均为长管状骨干骺端

E、骨内脂肪肉瘤应采取根治性切除或截肢手术

此题为多项选择题。

点击查看答案

第3题:

对于脂肪瘤的治疗,下列说法不正确的为().

A、脂肪瘤切除后应送病理,进一步明确其性质

B、多发脂肪瘤不行手术,仅取其一作病理

C、无症状的皮下脂肪瘤应积极手术,以防恶变

D、多数情况下,可不处理

E、切除时,应尽量连同包膜一并切除

点击查看答案

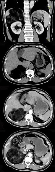
第4题:

男,59岁,右侧腰背酸痛,CT检查如图所示,应诊断为( )

A、右肾上腺腺瘤

B、右肾上腺转移瘤

C、右肾上腺髓样脂肪瘤

D、右腹膜后脂肪瘤

E、右肾血管平滑肌脂肪瘤

点击查看答案

第5题:

女性,33岁,拟行腹部脂肪瘤切除术。请为患者行切开、缝合的操作(切口长5cm,间断缝合3针,不做切除脂肪瘤的操作)。

点击查看答案