试题正文
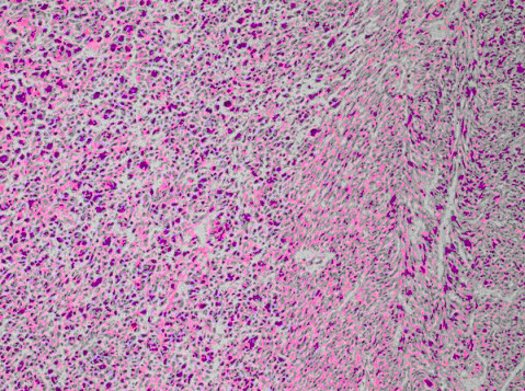
患者,男,67岁。腮腺无痛性肿块。界清、活动,肿瘤切面实性。镜下见肿瘤细胞形态一致,细胞体积较小。呈片状或条索状、核深染。团片周边部细胞呈单层柱状排列,基底膜增厚,PAS阳性。最可能的诊断是
A、管状腺瘤
B、基底细胞腺瘤
C、肌上皮瘤
D、多形性腺瘤
E、多形性低度恶性腺癌
热门标签: 多形性
答案
查看答案
